Mulheres residentes em Ribeirão Preto com idade entre 50 e 69 anos que estão sem realizar a mamografia há dois anos ou mais, podem agendar o exame no site da Prefeitura.
A ação, promovida pela coordenadoria da Saúde da Mulher, da Secretaria Municipal da Saúde, é a primeira ação preparatória para a campanha Outubro Rosa, de conscientização para o Controle do Câncer de Mama e do Colo do Útero.
O objetivo de compartilhar informações, proporcionando maior acesso aos serviços de diagnóstico e tratamento, contribuindo para a redução da mortalidade.
A solicitação do agendamento de mamografia pelo site ficará disponível até dia 30 de setembro ou até o preenchimento das 600 vagas disponibilizadas.
O agendamento do exame ficará condicionado à avaliação dos critérios informados.
Quando a mamografia estiver agendada, a Unidade de Saúde entrará em contato informando data, local e horário da sua realização.
Nas situações em que houver queixas mamárias, a mulher deverá procurar a Unidade de Saúde mais próxima de sua residência para avaliação e conduta.
As mulheres que não conseguirem agendar pelo site poderão procurar a Unidade de Saúde mais próxima para solicitar agendamento da mamografia.
A coordenadora do programa orienta todas as mulheres dessa faixa etária a procurarem a ação que está sendo disponibilizada neste mês.
“Iremos aproveitar esse momento de sensibilização do Outubro Rosa e as unidades de saúde irão ainda ampliar o acesso das mulheres aos exames de rastreamento de mamografia e do Papanicolau, realizando busca ativa e convocação das mulheres que estão com esses exames atrasados,” explica a médica Janaína Boldrini França.
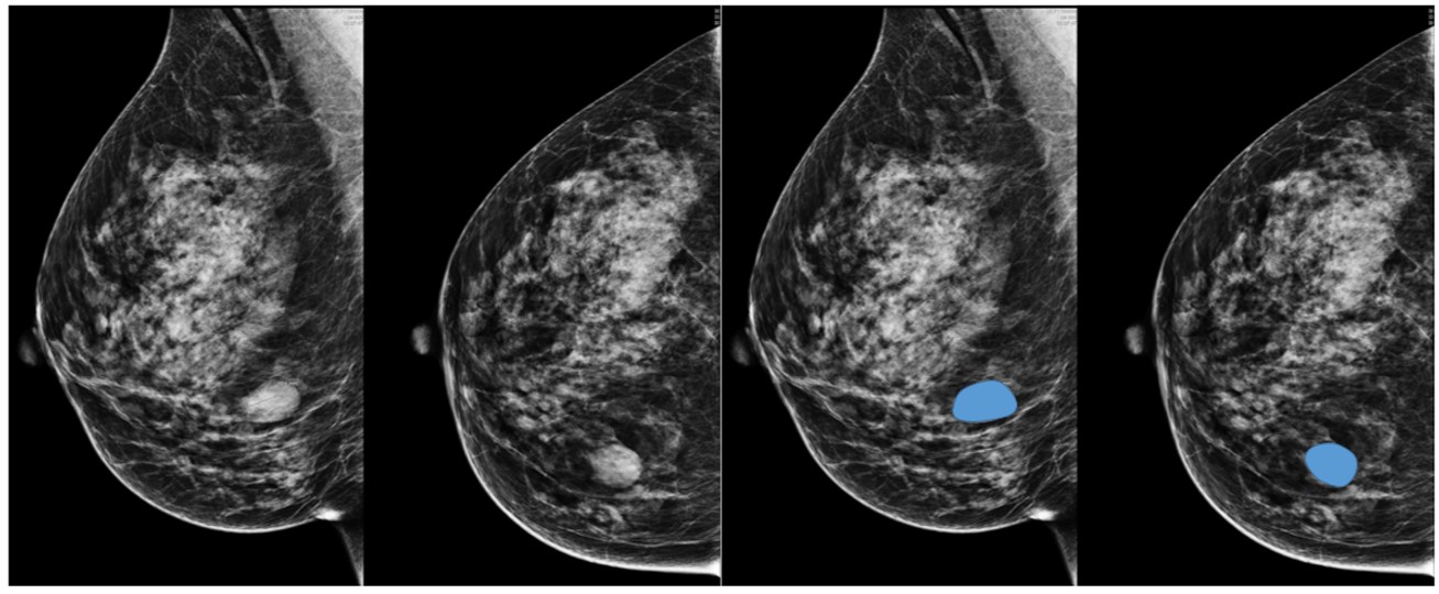
Uma das principais causas de óbito em mulheres são as neoplasias de mama e colo de útero, sendo a detecção e tratamento precoce importantes ações para uma maior chance de cura.
A neoplasia de mama e do colo de útero podem ser detectadas precocemente por meio da mamografia e da citologia oncótica respectivamente, exames não invasivos, de fácil aplicabilidade e baixo custo, compatíveis para o rastreamento em massa em uma população assintomática.
Todas as mulheres, independentemente da idade, podem conhecer seu corpo para saber o que é e o que não é normal em suas mamas e na parte genital.
Como proposta de sensibilização e intensificação dessas ações, o Ministério da Saúde instituiu o “Outubro Rosa” como marco da prevenção do câncer de mama, implementado no município há 14 anos através da Coordenadoria de Assistência Integral à Saúde da Mulher (CAISM) e em 2019 foi aderido o “Março Lilás” como marco da prevenção do câncer de colo do útero.











